If you need a more accessible version of this website, click this button on the right.Switch to Accessible Site

Cuboid Syndrome and Running

Wednesday, 01 September 2021 00:00

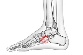
Cuboid syndrome is a condition in which the cuboid bone, located near the center of the foot, becomes displaced. If you’re a runner, this is a problem that you should watch out for. Your feet absorb shock up to two and a half times your body weight when you run. When all of the foot bones are properly aligned, your feet can absorb the shock without much discomfort. However, when the cuboid bone is displaced the feet can’t absorb shock as efficiently leading to foot pain, swelling, reduced range of motion, and difficulty bearing weight on the affected foot. Cuboid syndrome may occur in conjunction with an ankle sprain, or it can be caused by poor foot biomechanics or injury. If you are experiencing any foot pain please seek the care of a podiatrist.

Cuboid syndrome, also known as cuboid subluxation, occurs when the joints and ligaments near the cuboid bone in the foot become torn. If you have cuboid syndrome, consult with Barry P. Weinstein, DPM from Bellaire Podiatry. Our doctor will assess your condition and provide you with quality foot and ankle treatment.

Cuboid syndrome is a common cause of lateral foot pain, which is pain on the outside of the foot. The condition may happen suddenly due to an ankle sprain, or it may develop slowly overtime from repetitive tension through the bone and surrounding structures.

Causes

The most common causes of cuboid syndrome include:

  • Injury – The most common cause of this ailment is an ankle sprain.
  • Repetitive Strain – Tension placed through the peroneus longus muscle from repetitive activities such as jumping and running may cause excessive traction on the bone causing it to sublux.
  • Altered Foot Biomechanics – Most people suffering from cuboid subluxation have flat feet.

Symptoms

A common symptom of cuboid syndrome is pain along the outside of the foot which can be felt in the ankle and toes. This pain may create walking difficulties and may cause those with the condition to walk with a limp.

Diagnosis

Diagnosis of cuboid syndrome is often difficult, and it is often misdiagnosed. X-rays, MRIs and CT scans often fail to properly show the cuboid subluxation. Although there isn’t a specific test used to diagnose cuboid syndrome, your podiatrist will usually check if pain is felt while pressing firmly on the cuboid bone of your foot.

Treatment

Just as the range of causes varies widely, so do treatments. Some more common treatments are ice therapy, rest, exercise, taping, and orthotics.

If you have any questions, please feel free to contact one of our offices located in Bellaire and Houston, TX . We offer the newest diagnostic and treatment technologies for all your foot care needs.

 

Read more about All About Cuboid Syndrome
Connect with us